Composite bonding Hull offers a gentle way to improve your smile without the need for drilling or injections in most cases. This tooth-coloured bonding can repair chips, close small gaps, and refresh worn enamel—all often completed in a single visit. At Manor Dental Health, we take the time to match your natural tooth shade and sculpt the resin carefully, providing a smooth, natural finish. Read on to learn how this minimally invasive cosmetic dentistry option could be the affordable smile makeover you’ve been looking for.

Let’s explore how composite bonding can transform your smile without the stress of extensive dental procedures. This simple technique is gaining popularity among those seeking affordable smile makeovers.
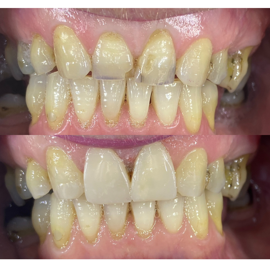
Composite bonding uses a tooth-coloured resin to improve the appearance of your teeth. It’s a versatile option for fixing a range of dental issues. Whether you’re dealing with a chipped tooth, gaps between teeth, or worn-down enamel, this method can help. The resin is carefully applied to the teeth and shaped to match your smile.
This technique is often preferred because it doesn’t require removing much of your natural tooth structure. Most people enjoy their new smiles after just one visit. The procedure is quick and virtually painless, making it an excellent choice for busy individuals looking for immediate results.
Composite bonding is suitable for anyone looking to enhance their smile without undergoing invasive procedures. If you have minor cosmetic issues, such as small gaps or chips, this could be the perfect solution. It’s also ideal for those who want to improve their smile’s brightness and uniformity.
Families particularly appreciate this treatment because it’s quick, affordable, and effective. If you’re someone who feels anxious about dental visits, you’ll find this approach less daunting. At Manor Dental Health, we welcome everyone, making sure even the most anxious patients feel at ease.
Choosing minimally invasive dentistry has many advantages. First, it preserves your natural tooth structure, which is crucial for long-term oral health. Second, it reduces the discomfort associated with more extensive dental work. Third, it often costs less than more complicated procedures, making it accessible to a wider audience.
By opting for composite bonding, you’re investing in a straightforward, effective way to achieve a confident smile. You’ll enjoy the benefits of a more attractive appearance without the need for extensive treatment. Next, we’ll take a closer look at how the composite bonding process works.

Understanding the steps involved in composite bonding will help you feel more comfortable and informed about your treatment. Here’s a simple guide to what you can expect during your visit.
The composite bonding process involves several straightforward steps:
Consultation and Planning: Your dentist will examine your teeth and discuss your goals.
Preparation: The surface of your teeth is gently roughened, and a conditioning liquid is applied.
Application: The resin is applied to your teeth, moulded, and shaped.
Curing: A special light hardens the resin.
Finishing Touches: The bonded teeth are polished for a natural look.
This entire procedure typically takes about 30 to 60 minutes per tooth.
Composite bonding can last 5-7 years with proper care. To maintain your new smile, practice good oral hygiene. This includes brushing, flossing, and regular dental check-ups. Avoid biting into hard objects, like ice or pens, to prevent chipping.
If you’re considering how long your results will last, remember that lifestyle factors play a role. Smoking and consuming staining foods or drinks can affect the appearance of your bonded teeth. Routine dental visits will ensure that your bonding remains in good condition.
Composite bonding can be combined with other cosmetic dental treatments for a comprehensive smile makeover. Many patients choose to pair bonding with teeth whitening for an even more dramatic improvement. If you’re interested in straightening your teeth, Invisalign can be used alongside bonding for optimal results.
Discuss your options with your dentist to create a customised treatment plan. At Manor Dental Health, we offer a range of services to help you achieve your dream smile. Our approach is both flexible and patient-focused, ensuring that you receive the care you need.

Choosing the right dental practice is crucial for a comfortable and positive experience. At Manor Dental Health, we pride ourselves on our gentle and affordable approach to dental care.
We understand that dental treatments can be daunting, which is why we prioritise patient comfort. Our practice is designed to make you feel at home, with a team that’s friendly and approachable. We offer competitive pricing and flexible payment options, including 0% finance up to 12 months, to make dental care accessible to everyone.
If you feel anxious about visiting the dentist, you’re not alone. Many people share this fear, but at Manor Dental Health, we specialise in creating a stress-free environment. Our compassionate team takes the time to understand your concerns and provide the support you need.
Our practice focuses on making every visit as relaxing as possible, from the moment you walk through the door. We want you to feel at ease so that you can receive the care you deserve.
Ready to enhance your smile with composite bonding? Booking a consultation is your first step towards a brighter, more confident smile. Our team will assess your needs and discuss the best options for you.
Don’t wait to achieve the smile you’ve always wanted. Contact us today to schedule your appointment and discover the difference a caring dental team can make. Manor Dental Health is here to help you enjoy a stress-free, rewarding dental experience.