Home Care Tips for Gleaming Teeth: Complement Your Professional Dental Hygiene Therapy

Home Care Tips for Gleaming Teeth: Complement Your Professional Dental Hygiene Therapy

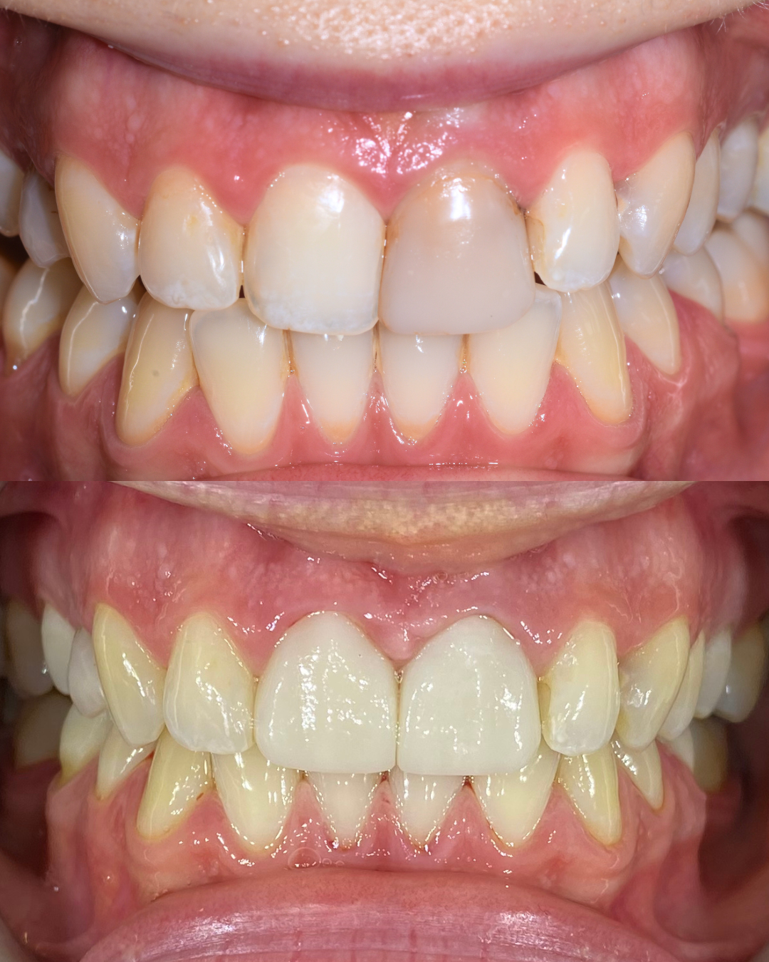
Keeping your smile bright takes more than just visiting your Hull dentist. What you do at home can make a big difference in how long professional dental hygiene lasts. Simple, effective home dental care habits support your oral health between appointments and help you get the most from your visits. Read on for practical oral health tips that complement your professional dental care and keep your smile shining.

Daily Brushing Techniques

Your daily brushing routine lays the foundation for healthy teeth. Selecting the right toothbrush and using the correct method ensures your efforts are effective and rewarding.

Choosing the Right Toothbrush

Picking the right toothbrush is the first step. Look for one with medium bristles. They clean effectively without harming gums. A toothbrush with a small head can reach tricky spots more easily. Electric options often prove beneficial, removing plaque with less effort. Replace your toothbrush every three months or sooner if the bristles fray.

Mastering the Correct Brushing Method

How you brush matters as much as the tools. Begin with a pea-sized amount of fluoride toothpaste. Hold the brush at a 45-degree angle to your gums. Use short, gentle circular motions, covering each tooth’s surface. Focus on the outer, inner, and chewing surfaces. Spend at least two minutes brushing. Don’t forget your tongue, a common spot for bacteria. Regular and thorough brushing keeps your mouth fresh and healthy.

Flossing for Optimal Oral Health

While brushing is essential, flossing tackles areas a brush can’t reach. This step fortifies your efforts, ensuring comprehensive oral care.

Flossing Tools and Techniques

Flossing might seem tricky, but using the right tools can simplify the task. Traditional dental floss or interdental brushes are most effective. Use about 18 inches of floss, winding it around your fingers. Gently slide it between your teeth, curving it into a C-shape against each tooth. Move the floss up and down to remove debris and plaque. Make flossing a daily practice to keep your gums healthy.

Benefits of Regular Flossing

Flossing daily does more than catch food particles. It significantly reduces the risk of gum disease by cleaning spots brushing misses. Healthy gums support overall dental health. Regular flossing also helps prevent cavities and keeps breath fresh. When you floss, you protect your teeth from decay and maintain a brighter smile.

Additional Home Dental Care Tips

Beyond brushing and flossing, other habits can further enhance your oral health. Incorporating these tips will maximise your dental care routine.

Diet and Dental Health

Your diet plays a crucial role in maintaining oral health. Limit sugary snacks and drinks, as they can lead to decay. Choose foods rich in calcium and phosphorus to strengthen teeth. Crunchy fruits and vegetables can naturally clean teeth while stimulating gums. Drinking water throughout the day helps wash away food particles and reduces bacterial growth. By making mindful choices, you support both your health and your smile.

🌟

Remember, these home care tips complement your visits to Manor Dental Health. They ensure your professional dental hygiene efforts last longer, keeping your smile vibrant. Regular check-ups remain vital. If you need dental care or advice, reach out to us. We’re here to help you maintain a healthy, confident smile.

Share