Missing teeth, crooked smiles, or chipped teeth can shake your confidence more than you realise. At Manor Dental Health, we offer dental implants Hull, Invisalign Hull, and composite bonding Hull to help restore your smile gently and effectively. Along with clear advice on preventive dental care, we make sure your whole family feels comfortable and cared for. Read on to see how these treatments could change the way you smile.

When considering a long-lasting solution for missing teeth, dental implants stand out as a reliable option. They offer more than just a cosmetic fix; they bring back the function and feel of natural teeth.
Dental implants deliver impressive benefits. They help you chew better and speak clearly, boosting your confidence significantly. Unlike dentures, implants don’t slip. They have a success rate of over 95%, making them a dependable choice. Plus, they help maintain your jawbone’s structure, preventing the sunken facial appearance that can occur with missing teeth.
The process of getting dental implants involves a few straightforward steps. First, a titanium post is placed into your jawbone. Over time, this post fuses with the bone, creating a strong foundation. This is followed by attaching a crown that matches your natural teeth. Each step is done with care to ensure comfort and effectiveness, so you can enjoy a complete smile again.
At Manor Dental Health, we pride ourselves in providing top-notch dental implants in Hull. Our skilled team is dedicated to crafting beautiful, functional smiles. With our expertise and your comfort in mind, we guide you through each step of the journey, ensuring you achieve the perfect result.

A straight smile can transform your look and boost your confidence, and Invisalign offers a modern approach to teeth straightening. Discover how these clear aligners could be your path to a perfect smile.
Invisalign uses a series of clear, custom-made aligners that gradually shift your teeth into place. You’ll wear each set of aligners for about two weeks before moving to the next set. The best part? They’re removable, so you can eat and brush your teeth without hassle. Most treatments take 6 to 12 months, depending on your needs.
Invisalign offers benefits that go beyond just straight teeth. They are nearly invisible, allowing you to smile confidently even during treatment. Plus, since they’re removable, maintaining oral hygiene is much easier compared to traditional braces. This means fewer food restrictions and the freedom to enjoy your favourite meals without worry.
At Manor Dental Health, we proudly offer Invisalign Hull, to help you achieve the smile you’ve always wanted. Our team tailors each treatment to meet your unique needs, ensuring a personalised approach that fits your lifestyle. Learn more about whether Invisalign or implants might be right for you by enquiring here.

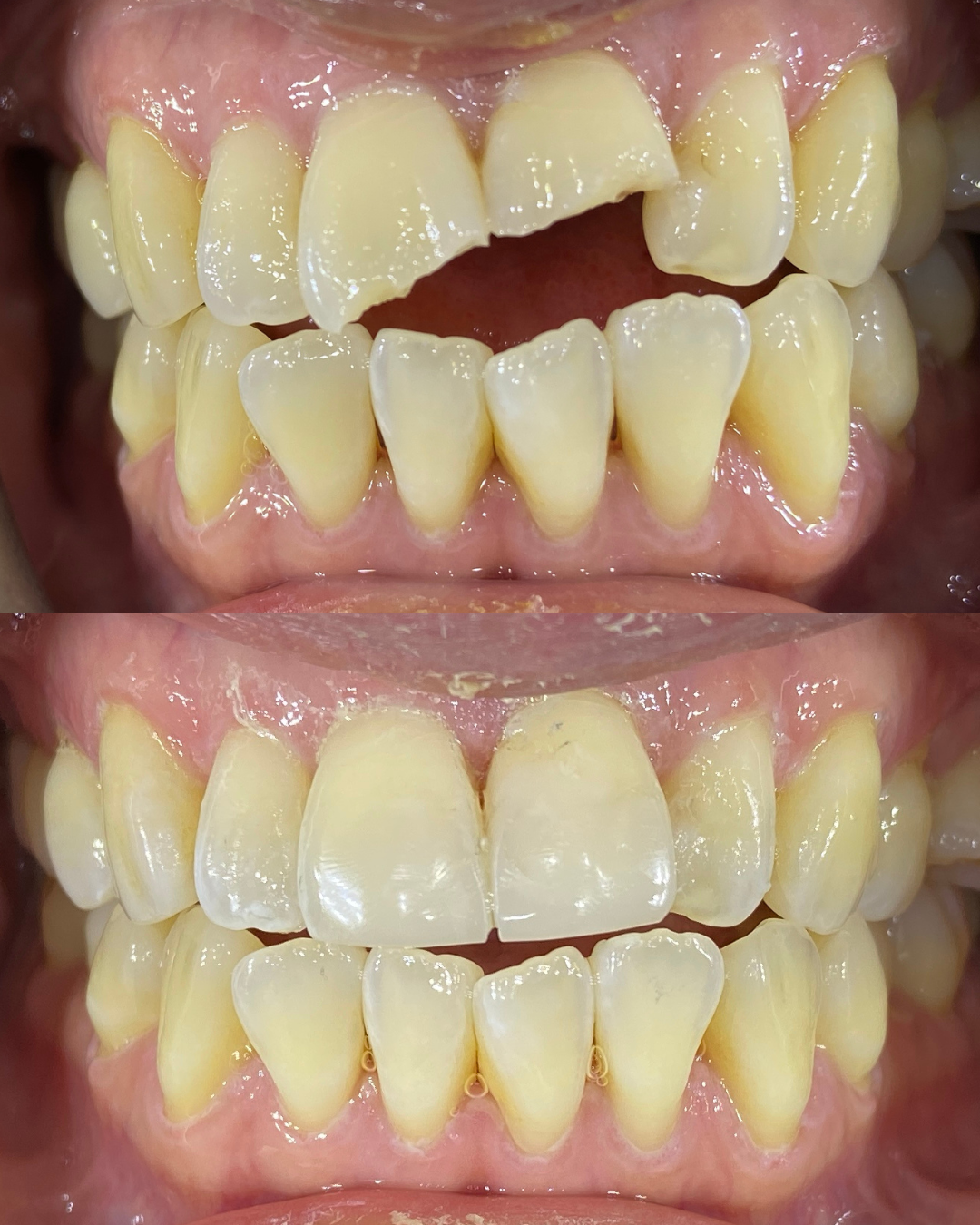
If you’re looking to quickly improve your smile’s appearance, composite bonding may be the answer. This versatile treatment can fix a range of dental issues with ease.
Composite bonding involves applying a tooth-coloured resin to your teeth. This resin is shaped and polished to match your natural teeth, covering imperfections like chips or gaps. The procedure is quick, often completed in just one visit, making it a convenient option for many.
Composite bonding offers several advantages. It’s less invasive than other treatments, preserving more of your natural tooth structure. The procedure is painless, and the results are immediate, allowing you to walk out of the office with a renewed smile. It’s also cost-effective, making it accessible for many looking to enhance their appearance.
In Hull, our practice excels in providing composite bonding services. We understand the importance of a beautiful smile and are committed to delivering outstanding results. With our experienced team, you’ll achieve a smile that you can flaunt with pride.

Maintaining a healthy smile goes beyond cosmetic treatments. Preventive care plays a crucial role in keeping your teeth and gums in top shape, and it’s a cornerstone of our practice.
Good habits start early. Encourage your family to brush twice daily and floss regularly. Limit sugary snacks and drinks to prevent cavities. Make dental visits a fun family outing, ensuring everyone gets regular check-ups and cleaning. These small steps can make a big difference in long-term oral health.
Regular dental visits are essential. They help catch potential issues early, saving you time and discomfort. During these visits, your dentist will clean your teeth, removing plaque and tartar build-up that regular brushing might miss. This keeps your gums healthy and your smile bright.
Taking the first step towards a healthier smile is easy with Manor Dental Health. We’re here to guide you through every stage of your dental journey.
We understand that cost can be a concern, which is why we offer flexible payment options. From 0% finance to membership plans, we provide solutions that fit your budget, making quality dental care accessible for everyone.
Ready to transform your smile? Contact us today to book your consultation. Our friendly team is here to answer your questions and help you choose the best treatment options for your needs. Don’t wait—start your journey to a confident smile now!